インプラント
Implant
- HOME
- インプラント
当院のインプラント治療について

これまで歯をほとんど失ってしまった人が選ぶことのできた治療法は、部分入れ歯や総入れ歯などの、いわゆる「入れ歯」が一般的でした。
しかし、入れ歯の場合は主に下記のように、
「違和感が強くて入れていられない」、
「家族と同じメニューが食べられない」、
「会話をするのがおっくうになる」、
「外食が面倒になった」
などの短所があるとされています。
このような症状に困っている人にお勧めできるのがインプラント治療です。
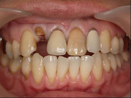
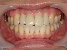
インプラント治療は歯がなくなってしまった歯ぐきにインプラント(人工歯根)を植え、固定式の人工歯を入れることによって"元の自分の歯と同じように"食べ物を噛めるようにする治療です。
インプラント治療のメリット
■ ブリッジや部分入れ歯のようにまわりの健康な歯を傷つけることなく治療できます。
■ インプラント(人工歯根)がしっかり固定されるので入れ歯のように「ずれ」や「すべり」などの違和感がありません。
■ 噛む機能が回復し食生活が改善、美味しく召し上がれます。
■ 発音・発声がしっかりするので今まで以上に会話が楽しめます。
■ 審美性(見た目)も天然歯と同等に回復できるので元の自然な笑顔がよみがえります。
■ インプラントならば、咬む力をしっかりと骨に伝えてくれますので時間が経っても骨はやせません。
インプラントの素材
『チタン』の安全性
インプラントの素材は、チタンで形成されています。40年以上の臨床研究により、チタンという素材が人体に拒絶反応を与えず、時間を経過することで、骨と結合する(オッセオインテグレーション)ことが確認されております。このチタンの特性を利用し、人工的に歯の土台である歯根を造り、人工的な歯を立てることで、丈夫で安定した治療を施すことができるのです。また、インプラント治療で使用するチタンは金属アレルギーの報告が最も少ないので、安心して治療を受けていただくことができます
当院で扱うインプラントシステム
現在、国内・海外あわせて相当数のインプラントシステムが存在します。日本国内で使用されているインプラントシステムにおいては約 30 社近く存在していると言われています。それらのシステムにも利点や欠点があり一概に1つのシステムが良いとは言えません。その中の後発のインプラントシステムにおいては低コストで安価なものも存在していることも事実です。しかし、インプラント治療は外科処置を伴い、チタン製のインプラント体は体内に入れるわけですから、安かろう悪かろうでは本末転倒です。インプラント治療はをする際は患者様の口腔内の状態を把握し、その上で患者様に最も適したインプラントシステムをチョイスする。その上で患者様の口腔内に適したインプラントシステムの実績や信頼性、安全性が重要になります。
その中で当院が使用しているインプラントシステムは世界的に見ても最も臨床実績があり、信頼性・予知性が高く、世界的に評価の高い3つのインプラントシステムを選び使用しています。 これらの信頼性・予知性の高いインプラントシステムの中から患者様の口腔内に状態を検査し最も合ったものを使用しております。
当院が使用している4つのインプラントシステムのうち1つ目はブローネマルクインプラントシステムです。このシステムは現代のチタン製のインプラントを開発したスウェーデンのブローネマルク教授により作られ 40 年以上の実績のあり、世界で最も信頼性・シェア率が高いインプラントシステムです。
2つ目のリプレイスセレクトは世界で最も信頼性の高いブローネマルクインプラントのノーベルバイオケア社が開発したインプラントです。短いインプラントで顎の小さい日本人に適したインプラントと言われています。また前歯・臼歯部の治療に向いています。
3つ目のストローマンインプラントはストローマン社が行なっているインプラントの研究・科学的な文献による裏付け、生産管理などは世界でもトップクラスで、30年以上に渡る臨床実績があり、ブローネマルクインプラントに次いで世界で2番目の臨床実績とシェア率を誇るインプラントシステムです。1回法がメインであり治療期間が短く短期間の治療を可能にしています。
4つ目のHAインプラントはzimmer社の開発した、結晶率97%を誇るHA(ハイドロキシアパタイト)がフィクスチャー全面にコーティング技術が施されたインプラントです。米国では15年以上の臨床実績があり特にカルシティックHAインプラントの治療成功率は99.5パーセントです。骨との間隙があってもバイオインテグレーションすることが分かっているため、ある程度隙間のある削り方や骨の状態が悪い場合でも高い成功率があります。
